小伙误吸防晒喷雾后检查出白肺 防晒喷雾如何正确使用
夏天很多人都用防晒喷雾,非常方便,但是近日有一小伙在使用防晒喷雾时不小心误吸了,结果出现咳嗽胸闷的症状,检查发现是白肺,那么,防晒喷雾如何正确使用?下面作文档小编就带来介绍。
小伙误吸防晒喷雾后检查出白肺
据报道,20岁的湖南长沙小伙李林(化名)在外出前使用了防晒喷雾,在对着面部喷洒时一不小心误吸,随即出现胸闷、咳嗽的症状。症状一直持续到第二天仍未好转,他急忙来到湖南省长沙市第三医院就诊。
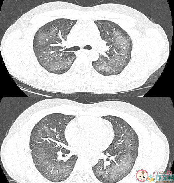
经检查,肺部CT片显示,李林双肺赫然呈现大范围白色样病变,报告提示“白肺”。

医生指出,使用防晒喷雾时应注意适量原则,避免直接喷向面部,最好先将其喷在手上再涂抹。
除了感染、弥漫性肺泡出血综合征等“白肺”最常见的病因外,吸入有害物质如粉尘、喷雾等,也可导致肺部出现大范围白色样病变。这位年轻的患者就是因为使用不当,吸入了一部分防晒产品进入肺部,导致“白肺”的发生。急诊医生给予吸氧、化痰、抗感染等相关治疗后,李林症状得到明显改善。
在许多节目中,艺人们拿着防晒喷雾朝脸上一顿狂喷,似乎这样就能达到更好的防晒效果。在某个美妆节目上,演员宋轶曾表示一个多月的时间,能够用掉30瓶防晒喷雾。
实际上,这样大剂量地喷洒防晒喷雾,除了会带来误吸的风险,还有可能发生“引火上身”的事故。

防晒喷雾如何正确使用
选用温和无刺激、适合自己肤质的产品。如果对酒精不耐受,不要选用含有酒精的防晒喷雾。因个人肤质不同,首次使用前可以把少量防晒喷雾涂抹在耳后、肘关节内侧等部位进行皮试,保持24至72小时,确定无不适反应以后再进行使用。
使用防晒喷雾时主要喷洒在身体部位,使用时与皮肤至少保持15至20厘米的距离。使用于面部和颈部时,请先喷洒在手上,然后用手均匀涂抹。若不慎入眼,要立即用水清洗;如有不适要暂停使用。
不要在肌肤伤口、红肿或湿疹等有异常的部位使用防晒喷雾。不要在同一个身体部位近距离(如10厘米内)连续喷射超过3秒,防晒喷雾中的推进剂喷出后会迅速挥发吸热,长时间或者近距离使用可能会冻伤皮肤。不要在卫生间、车内等狭小密闭不通风空间内使用,喷洒时要注意通风,使用时紧闭口鼻,勿刻意吸气,避免吸入喷雾。

应放在儿童接触不到的地方,儿童应在成人监护下使用防晒喷雾。建议给儿童选择配方温和、标识有儿童化妆品标志“小金盾”的防晒产品。
防晒喷雾中通常含有易燃物质,请存放在阴凉干燥通风环境中,避免阳光直晒。使用时应远离火源、热源、静电,不得撞击产品,不得将产品或使用完的空罐刺穿或投入火中。
小伙误吸防晒喷雾后检查出白肺 防晒喷雾如何正确使用相关文章:
